
目次
第102回看護師国家試験(午前問題)
問題1
日本の平成22年(2010年)における総人口に最も近いのはどれか。
1.1億人
2.1億3千万人
3.1億6千万人
4.1億9千万人
>>解答・解説を見る(会員限定)
問題2
飲酒に起因する健康障害はどれか。
1.肝硬変
cirrhosis
2.膠原病
collagen disease
3.Meniere<メニエール〉病
Meniere's disease
4.Parkinson パーキンソン〉病
Parkinson's disease
>>解答・解説を見る(会員限定)
問題3
日本において国民皆保険制度が適用されているのはどれか。
1.医療保険
2.介護保険
3.火災保険
4.生命保険
>>解答・解説を見る(会員限定)
問題4
ヘルシンキ宣言で提唱されたのはどれか。
1.リビングウィル
2.ヘルスプロモーション
3.ノーマライゼーション
4.インフォームド・コンセント
>>解答・解説を見る(会員限定)
問題5
新たに業務に従事する看護師に対する臨床研修実施の努力義務が規定されているのはどれか。
1.医療法
2.学校教育法
3.看護師等の人材確保の促進に関する法律
4.保健師助産師看護師学校養成所指定規制
>>解答・解説を見る(会員限定)
問題6
Down<ダウン>症候群を生じるのはどれか。
Down's syndrome
1.13トリソミー
2.18トミソミー
3.21トリソミー
4.性染色体異常
>>解答・解説を見る(会員限定)
問題7
乳歯がすべて生えそろったときの本数はどれか。
1.16本
2.20本
3.24本
4.28本
>>解答・解説を見る(会員限定)
問題8
日本における平成21年(2009年)の5~9歳の子どもの死因で最も多いのはどれか。
1.肺炎
pneumonia
2.心疾患
heart disease
3.不慮の事故
accidents
4.悪性新生物
malignant neoplasm
>>解答・解説を見る(会員限定)
問題9
成人期において基礎代謝量が最も多い時期はどれか。
1.青年期
2.壮年前期
3.壮年後期
4.向労期
>>解答・解説を見る(会員限定)
問題10
医療法において、病院とは□人以上の患者を入院させるための施設を有するものと規定されている。□に入るのはどれか。
1.10
2.20
3.50
4.100
>>解答・解説を見る(会員限定)
問題11
分娩第2期はどれか。
1.陣痛開始から子宮口全開大まで
2.排臨から発露まで
3.子宮口全開大から胎児娩出まで
4.胎児娩出から胎盤娩出まで
>>解答・解説を見る(会員限定)
問題12
チアノーゼの際の皮膚の色に最も近いのはどれか。
1.青
2.赤
3.黄
4.白
>>解答・解説を見る(会員限定)
問題13
サーカディアンリズムの周期はどれか。
1.約8時間
2.約12時間
3.約24時間
4.約48時間
>>解答・解説を見る(会員限定)
問題14
前立腺癌(prostate cancer)に特徴的な腫瘍マーカーはどれか。
1.AFP
2.CA19-9
3.CEA
4.PSA
>>解答・解説を見る(会員限定)
問題15
メチシリン耐性黄色ブドウ球菌<MRSA>に有効な薬はどれか。
1.バンコマイシン塩酸塩
2.セファゾリンナトリウム
3.ストレプトマイシン硫酸塩
4.ベンジルペニシリンカリウム
>>解答・解説を見る(会員限定)
問題16
成人女性に一時的な導尿を行う際に、カテーテルを挿入する長さはどれか。
1.1~3cm
2.5~7cm
3.9~11cm
4.18~20cm
>>解答・解説を見る(会員限定)
問題17
爪の切り方の模式図を示す。
爪のケアとして適切な切り方はどれか。
1.

2.

3.

4.

>>解答・解説を見る(会員限定)
問題18
空気感染を防止するための防護用具はどれか。
1.ガウン
2.ゴーグル
3.N95マスク
4.外科用マスク
>>解答・解説を見る(会員限定)
問題19
無菌操作を必要とするのはどれか。
1.鼻腔吸引
2.気管内吸引
3.口腔内吸引
4.胃内容物の吸引
>>解答・解説を見る(会員限定)
問題20
抑臥位での褥瘡好発部位はどれか。
1.仙骨部
2.内顆部
3.腸骨稜部
4.大転子部
>>解答・解説を見る(会員限定)
問題21
日本の平成26年(2014年)における母の年齢階級別出生率が最も高いのはどれか。
1.20~24歳
2.25~29歳
3.30~34歳
4.35~39歳
5.40~44歳
>>解答・解説を見る(会員限定)
問題22
低血糖の症状または所見はどれか。
1.口渇
2.徐脈
3.多尿
4.発汗
5.発熱
>>解答・解説を見る(会員限定)
問題23
ワルファリンと拮抗作用があるのはどれか。
1.ビタミンA
2.ビタミンC
3.ビタミンD
4.ビタミンE
5.ビタミンK
>>解答・解説を見る(会員限定)
問題24
体位の写真を以下に示す。
Fowler<ファウラー>位はどれか。

1.①
2.②
3.③
4.④
5.⑤
>>解答・解説を見る(会員限定)
問題25
肘正中皮静脈からの採血における駆血部位の写真を以下に示す。 正しいのはどれか。ただし、×は刺入部である。

1.①
2.②
3.③
4.④
5.⑤
>>解答・解説を見る(会員限定)
問題26
中耳にあるのはどれか。
1.前庭
2.蝸牛
3.半規管
4.耳小骨
>>解答・解説を見る(会員限定)
問題27
脂肪を乳化するのはどれか。
1.胆汁酸塩
2.トリプシン
3.ビリルビン
4.リパーゼ
>>解答・解説を見る(会員限定)
問題28
高血圧性脳出血(hypertensive cerebral hemorrhage)で最も頻度の高い出血部位はどれか。
1.被殻
2.視床
3.小脳
4.橋
>>解答・解説を見る(会員限定)
問題29
酸塩基平衡の異常と原因の組合わせで正しいのはどれか。
1.代謝性アルカローシス---下痢
2.代謝性アシドーシス---嘔吐
3.代謝性アシドーシス---慢性腎不全 chronic renal failure
4.呼吸性アシドーシス---過換気症候群 hyperventilation syndrome
>>解答・解説を見る(会員限定)
問題30
母乳が主な感染経路となるのはどれか。
1.成人T細胞白血病<ATL>ウイルス
2.単純ヘルぺスウイルス<HSV>
3.サイトメガロウイルス
4.風疹ウイルス
>>解答・解説を見る(会員限定)
問題31
日本の平成21年(2009年)における人口の動向について正しいのはどれか。
1.年少人口の構成割合は20%台である。
2.老年人口の構成割合は20%台である。
3.従属人口指数は70台である。
4.老年化指数は180台である。
>>解答・解説を見る(会員限定)
問題32
同じ問題や悩みを抱えた人々が助け合う活動はどれか。
1.ケースワーク
2.ピアサポート
3.コミュニティワーク
4.コンサルテーション
>>解答・解説を見る(会員限定)
問題33
社会保険と根拠となる法律の組合せで正しいのはどれか。
1.医療保険---健康保険法
2.年金保険---老人福祉法
3.雇用保険---雇用の分野における男女の均等な機会及び待遇の確保等に関する法律
4.労働者災害補償保険---労働基準法
>>解答・解説を見る(会員限定)
問題34
法律によって医療費の公費負担が認められる疾患はどれか。
1.Creutzfeldt-Jakob<クロイツフェルト・ヤコブ>病
Creutzfeldt-Jakob disease
2.サルコイドーシス
sarcoidosis
3.劇症肝炎
fulminant hepatitis
4.肺結核
pulmonary tuberculosis
>>解答・解説を見る(会員限定)
問題35
健康日本21でたばこ対策として取り組んでいる目標はどれか。
1.禁煙外来受信者の増加
2.公共の場での分煙の徹底
3.育児中の母親の禁煙の減少
4.禁煙が及ぼす社会的影響についての知識の普及
>>解答・解説を見る(会員限定)
問題36
看護計画における看護上の問題について適切なのはどれか。
1.医師と共有しない。
2.原因は1つに絞る。
3.退院するまで変更しない。
4.原因が不明な事象も問題とする。
>>解答・解説を見る(会員限定)
問題37
看護記録の内容で適切でないのはどれか。
1.患者の訴えたこと
2.実施したケアの内容
3.ケア後の患者の変化
4.ケア後の看護師の感想
>>解答・解説を見る(会員限定)
問題38
医療法施行規則で規定されているのはどれか。
1.病室の温室
2.病室の照度
3.ベッドの高さ
4.1床あたりの床面積
>>解答・解説を見る(会員限定)
問題39
Aさん(50歳、男性)は、心筋梗塞(myocardial infarction)で病院に緊急搬送されたが、2時間後い死亡した。Aさんの家族は突然の出来事で混乱している。
Aさんの家族への対応で最も適切なのはどれか。
1.死後の処置への家族の同席を断る。
2.Aさんと家族だけの時間をつくる。
3.Aさんの死についての話題は避ける。
4.心筋梗塞(myocardial infarction)による死亡は多いと慰める。
>>解答・解説を見る(会員限定)
問題40
入院中の患者における中心静脈栄養法<IVH>の管理で適切なのはどれか。
1.刺入部は毎日消毒する。
2.定期的に血糖値を確認する。
3.カテーテルの刺入部は見えたいように覆う。
4.輸液セットはカテーテルを抜去するまで交換しない。
>>解答・解説を見る(会員限定)
問題41
水封式持続吸引法による胸腔ドレナージについて正しいのはどれか。
1.ドレーンの回路は開放式である。
2.水封室の水面は呼吸に伴って上下に動く。
3.吸引圧は-50~-100cmH2Oに調整する。
4.ドレーンバッグは挿入部よりも高く設置する。
>>解答・解説を見る(会員限定)
問題42
7時から翌朝7時までの24時間尿を採取する方法として正しいのはどれか。
1.7時に排尿した尿から蓄尿を始める。
2.排便時に出た尿は蓄尿しない。
3.翌朝7時に出た尿は蓄尿しない。
4.24時間の全尿の一部を採取する。
>>解答・解説を見る(会員限定)
問題43
健常な人の瞳孔を図に示す。

1.

2.

3.

4.

右眼に光が当てたときの正常な対抗反射はどれか。
>>解答・解説を見る(会員限定)
問題44
成人の学習の特徴として正しいのはどれか。
1.学習者のこれまでの経験が資源となる。
2.外的動機づけによって学習が促進される。
3.自己評価よりも他者による評価が重要である。
4.課題中心の学習よりも講義形式による学習の方が効果が高い。
>>解答・解説を見る(会員限定)
問題45
術前の検査値で創傷治療の遅延因子となるのはどれか。
1.血清アルブミン低値
2.血清総ビリルビン低値
3.糸球体濾過値<GFR>高値
4.動脈血酸素分圧<PaO2>高値
>>解答・解説を見る(会員限定)
問題46
乳癌(breast cancer)に対する乳房温存手術後の放射線治療を受ける患者への説明で正しいのはどれか。
1.放射線肺炎(radiation pneumonitis)のリスクがある。
2.対側の乳癌(breastbreast cancer)の予防が目的である。
3.治療期間中はブラジャーの使用を避ける。
4.治療期間中はマーキングした部位を洗わない。
>>解答・解説を見る(会員限定)
問題47
緩和ケアについて正しいのはどれか。
1.患者の家族は対象に含まない。
2.ケア計画は多職種が話し合って立案する。
3.疼痛コントロールの第一選択はモルヒネである。
4.根治的な治療法がないと医師が説明したときから始める。
>>解答・解説を見る(会員限定)
問題48
気管支喘息(asthma)に対する副腎皮質ステロイドの吸入療法について正しいのはどれか。
1.副作用は内服より少ない。
2.吸入後に含嗽はしない。
3.食後の吸入が食前より効果的である。
4.吸い込むタイミングで効果に差はない。
>>解答・解説を見る(会員限定)
問題49
甲状腺癌(thyroid cancer)のために甲状腺全摘術と頸部リンパ節郭清術とを受けた患者の術後管理で正しいのはどれか。
1.甲状腺クリーゼ(thyroid crisis)の観察をする。
2.嗄声のある間は経口摂取を禁止する。
3.ドレーンからの乳び漏の有無を観察する。
4.テタニーが生じた場合は副甲状腺ホルモンを補充する。
>>解答・解説を見る(会員限定)
問題50
肝硬変(cirrhosis)で皮下出血、腹水貯留および手指の振戦がある患者に対する食事で適切なのはどれか。
1.高蛋白食
2.高脂肪食
3.低残渣食
4.塩分制限食
>>解答・解説を見る(会員限定)
問題51
右乳癌(breastcancer)のために胸筋温在乳房切除術と腋窩リンパ筋郭清術とを受けた患者。呼吸循環機能は安定しており、右腋窩部と乳房皮下とにドレーンが挿入されている。
術後1日の看護で適切なのはどれか。
1.右側臥位を勧める。
2.右肘関節の回内・回外運動を勧める。
3.右上肢の中枢から末梢に向かってマッサージをする。
4.右上肢の前方拳上は術後10日間行わないよう指導する。
>>解答・解説を見る(会員限定)
問題52
Aさんは、特定の相手に対して「とても尊敬しています」と過度に好意を示すこともあれば「あなたは最低だ。嫌い」と嫌悪感を同時に訴えることもある。Aさんに現れている現象はどれか。
1.否認
2.逆転移
3.アンビバレンス<両価性>
4.エディプスコンプレックス
>>解答・解説を見る(会員限定)
問題53
Asperger<アスペルガー>症候群について正しいのはどれか。
Asperger syndrome
1.女性に多い。
2.出生時に診断される。
3.自我障害が特徴である。
4.知的能力の発達は保たれる。
>>解答・解説を見る(会員限定)
問題54
精神疾患の患者に対する心理教育について正しいのはどれか。
1.精神分析を実施する。
2.家族関係が疾患の原因であることを説明する。
3.症状が悪化するときのサインに気づけるように指導する。
4.状態に合わせて服薬量を自分で増減する方法を説明する。
>>解答・解説を見る(会員限定)
問題55
電気けいれん療法の適応となるのはどれか。
1.失見当識
2.重症うつ病
depression
3.悪性症候群
malignant syndrome
4.Parkinson<パーキンソン>病
Parkinson's disease
>>解答・解説を見る(会員限定)
問題56
Aさん(42歳、男性)、会社員。うつ病(depression)で自殺企図のため入院した。外傷はない。入院時に看護師が「大変でしたね」と声をかけたが、Aさんは一言も話そうとせず、硬い表情をしている。
この時点でのAさんへの対応で適切なのはどれか。
1.「気分転換にお散歩へ行きませんか」
2.「今夜は多床室で休んでいただきます」
3.「仕事が合わないのでありませんか」
4「.持ち物を一緒に確認させていただけますか」
>>解答・解説を見る(会員限定)
問題57
訪問看護の利用者の特徴として正しいのはどれか。
1.年齢は65~69歳が最も多い。
2.要介護度は要支援2は最も多い。
3.脳血管疾患(cerebrovascular disease)を含む循環器系疾患(circulatory disease)が最も多い。
4.介護保険よりも医療保険によるサービス受給者が多い。
>>解答・解説を見る(会員限定)
問題58
退院調整部署と連携しながら、ある患者の退院支援を進めることになった。
病棟看護師が行う支援として最も適切なのはどれか。
1.経済問題へほ対応
2.患者の希望の聴取
3.介護保険制度の説明
4.在宅のケアプラン立案
>>解答・解説を見る(会員限定)
問題59
要介護認定者が訪問看護を受ける際、医療保険から給付される疾病または状態はどれか。
1.関節リウマチ
rheumatoid arthritis
2.在宅酸素療法を受けている状態
3.人工呼吸器を利用している状態
4.全身性エリテマトーデス<SLE>
systemic lupus erythematosus
>>解答・解説を見る(会員限定)
問題60
Aさんは在宅療養をしており、皮下埋め込み式ボートから高カロリー論液を間欠的に注入している。
訪問看護師がAさんに行う日常生活の指導内容として適切なのはどれか。
1.穿刺針の固定は不要である。
2.抜針した当日の入浴はできない。
3.穿刺針は一般廃棄物として処理する。
4.刺入部の発赤を認めた場合は訪問看護師に連絡する。
>>解答・解説を見る(会員限定)
問題61
バヴィガースト.R.J(Havighurst R.J)の老年期における発達課題として正しいのはどれか。
1.子どもを独立させる。
2.満足できる収入を得る。
3.配偶者の死に適応する。
4.異世代の人と親密な関係を結ぶ。
>>解答・解説を見る(会員限定)
問題62
加齢に伴う呼吸循環機能の変化について正しいのはどれか。
1.残気量は変化しない。
2.肺の弾性は低下する。
3.左心室壁は薄くなる。
4.安静時の心拍出量は増加する。
>>解答・解説を見る(会員限定)
問題63
96歳の女性。要支援2の認定を受け、介護予防通所介護を利用している。援助として適切なのはどれか。
1.入浴は特殊浴槽を利用する。
2.排泄時には援助者が下着を脱がせる。
3.椅子に座るときには安全ベルトを利用する。
4.運動を取り入れたレクリエーションへの参加を促す。
>>解答・解説を見る(会員限定)
問題64
高齢者に多い弛緩性便秘の原因で正しいのはどれか。
1.長期臥床
2.便意の我慢
3.腸管内の炎症
4.下行結腸の蠕動亢進
>>解答・解説を見る(会員限定)
問題65
介護保険施設においてノロウイルス(norovirus infection)感染症が発生した。
感染を拡大させないための対応として適切なのはどれか。
1.感染者の居室はアルコールで拭く。
2.感染者の吐物は乾燥してから処理する。
3.感染者が利用したリネンは60℃の加熱処理を行う。
4.感染者が使用した食器は次亜塩素酸ナトリウムで消毒する。
>>解答・解説を見る(会員限定)
問題66
大腿骨頸部骨折(femoral neck fracture)に対する人工骨頭置換術の術後1週以内における看護で適切なのはどれか。
1.手術当日に全身清拭は行わない。
2.術後初めての食事は全介助で行う。
3.患肢の他動運動は術後3日から行う。
4.臥床時は患肢を外転中間位に保持する。
>>解答・解説を見る(会員限定)
問題67
認知症対応型共同生活介護(グループホーム)について正しいのはどれか。
1.20人の生活単位を基本とする。
2.看護職員の配置が義務づけられている。
3.介護保険制度における地域密着型サービスである。
4.連続して利用できる期間は原則3か月以内である。
>>解答・解説を見る(会員限定)
問題68
出生前診断のための羊水検査について適切なのはどれか。
1.検査がもたらす母児への影響を事前に説明する。
2.胎児に染色体異常が発見された場合は結果を知らせない。
3.夫婦の意見が対立した場合は夫の意見を優先する。
4.妊婦の母親から問い合わせあった場合は検査結果を伝える。
>>解答・解説を見る(会員限定)
問題69
性感染症<STD>について正しいのはどれか。
sexually transmitted disease
1.経口避妊薬の内服が予防に有効である。
2.患者のパートナーは治療の対象ではない。
3.10代では性器ヘルペス(genital herpes)の罹患が最も多い。
4.性器クラミジア(genital chlamydiosis)感染症の罹患は不妊症(infertility)の危険因子である。
>>解答・解説を見る(会員限定)
問題70
正常新生児に対して出生後2週間以内に実施するのはどれか。
1.聴力検査
2.抗菌薬の点眼
3.心拍モニタリング
4.先天性代謝異常検査
>>解答・解説を見る(会員限定)
問題71
Aさん(30歳、初産婦)は、妊婦39週2日で前期破水(premature membrane rupture)と診断され入院した。胎児は頭位で臍帯下垂はみられず、胎児心拍数は正常である。Aさんへの看護師の対応で適切なのはどれか。
1.入浴を勧める。
2.歩行を禁止する。
3.3~4時間ごとに導尿をする。
4.3~4時間ごとに外陰部のパッドを交換する。
>>解答・解説を見る(会員限定)
問題72
A君(10歳、男児)は、既往歴はなく健康である。A君の弟のB君(5歳)は、白血病(leukemia)のために入院しており、治療の一環として骨髄移植を必要としている。A君がドナー候補に挙がっており、両親はA君をドナーとした骨髄移植を希望している。骨髄移植に関するA君への看護師の説明で適切なのはどれか。
1.骨髄採取後は腰の痛みを伴う。
2.A君は何も心配しなくてよい。
3.A君が頑張ればお母さんが喜ぶ。
4.B君の病気を治すためにはA君がドナーになるしかない。
>>解答・解説を見る(会員限定)
問題73
子どもの遊びについて正しいのはどれか。
1.象徴遊びは3~4歳で最も盛んになる。
2.感覚運動遊びは5歳ころまでみられる。
3.並行遊びは6歳以降に増える。
4.構成遊びは8歳ころに現れる。
>>解答・解説を見る(会員限定)
問題74
離乳食の進め方で正しいのはどれか。
1.開始前からスプーンに慣れさせる。
2.開始時は炭水化物より蛋白質の割合を多くする。
3.開始時から人工乳はフォローアップミルクにする。
4.開始から2か月ころは舌でつぶさせる固さの食物にする。
>>解答・解説を見る(会員限定)
問題75
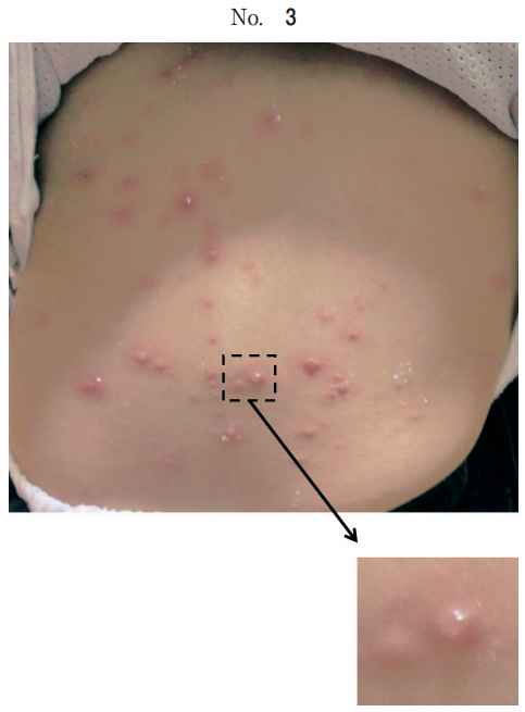
体幹部の写真を以下に示す。

最も疑われるウイルス感染症はどれか。
1.伝染性軟属腫
molluscum contagiosum
2.伝染性紅班
erythema infectiosum
3.水痘
varicella
4.風疹
rubella
>>解答・解説を見る(会員限定)
問題76
細胞内におけるエネルギー産生や呼吸に関与する細胞内小器官はどれか。
1.ミトコンドリア
2.リボソーム
3.ゴルジ体
4.小胞体
5.核
>>解答・解説を見る(会員限定)
問題77
ナトリウムイオンが再吸収される主な部位はどれか。
1.近位尿細管
2.Henle<ヘレン>のループ<係蹄>下行脚
3.Henle<ヘレン>のループ<係蹄>上行脚
4.遠位尿細管
5.集合管
>>解答・解説を見る(会員限定)
問題78
人体の右側のみにあるのはどれか。
1.総頸動脈
2.腕頭動脈
3.腋窩動脈
4.内頸動脈
5.鎖骨下動脈
>>解答・解説を見る(会員限定)
問題79
ペニシリン投与によって呼吸困難となった患者への第一選択薬はどれか。
1.ジギタリス
2.テオフィリン
3.アドレナリン
4.抗ヒスタミン薬
5.副腎皮質ステロイド
>>解答・解説を見る(会員限定)
問題80
下肢の閉塞性動脈硬化症(arteriosclerosis obliterans)<ASO>の症状はどれか。
1.間欠性跛行
2.線維束性収縮
3.近位筋優位の萎縮
4.足背動脈の拍動の亢進
5.登攀性起立(Gowers<ガワーズ>徴候)
>>解答・解説を見る(会員限定)
問題81
透析導入患者の原疾患として最も多いのはどれか。
1.慢性糸球体腎炎
chronic glomerulonephritis
2.多発性嚢胞
polycystic kidney
3.ループス腎炎
lupus nephritis
4.糖尿病腎症
diabetic nephropathy
5.腎硬化症
nephrosclerosis
>>解答・解説を見る(会員限定)
問題82
心音の聴取部位を図に示す。肺動脈弁領域の聴診部位はどれか。
ただし、点線は心臓を示す。

>>解答・解説を見る(会員限定)
問題83
収縮期血圧の上昇をきたす要因はどれか。
1.副交感神経の興奮
2.循環血液量の減少
3.末梢血管抵抗の増大
4.血液の粘稠度の低下
5.動脈血酸素分圧<PaO2>の上昇
>>解答・解説を見る(会員限定)
問題84
所見と病態の組合せで正しいのはどれか。
1.Raynaud<レイノー>現象---四肢末端の虚血
2.頸静脈の怒張---左心系の循環障害
3.全身性浮腫---リンパ管の還流障害
4.チアノーゼ---還元ヘモグロビンの減少
5.上室性期外収縮---心室から発生する異所性興奮
>>解答・解説を見る(会員限定)
問題85
生後4日の新生児の状態で正常を逸脱しているのはどれか。
1.臍帯が乾燥している。
2.体重減少が7%である。
3.黒緑色の便が排泄されている。
4.排気とともに少量の母乳を吐く。
5.皮膚が乾燥し一部がはがれている。
>>解答・解説を見る(会員限定)
問題86
疾病とその特徴的な所見の組合せで正しいのはどれか。
1.急性虫垂炎(acute appendicitis)---血便
2.ネフローゼ症候群(nephrotic syndrome)---高血圧
3.重症筋無力症(myasthenia gravis)---けいれん
4.グループ症候群(croup syndrome)---吸気性喘鳴
5.Cushing<クッシング>症候群(Cushing syndrome)---頸部リンパ節腫脹
>>解答・解説を見る(会員限定)
問題87
アポクリン汗腺が多く分布する部位はどれか。2つ選べ。
1.顔面
2.腋窩
3.手掌
4.足底
5.外陰部
>>解答・解説を見る(会員限定)
問題88
原発緑内障(primary glaucoma)について正しいのはどれか。2つ選べ。
1.眼球が突出する。
2.眼圧が上昇する。
3.瞳孔が縮小する。
4.視神経が萎縮する。
5.眼底に出血がみられる。
>>解答・解説を見る(会員限定)
問題89
入所者または住居者が公的保険による訪問看護サービスを受けることができるのはどれか。2つ選べ。
1.乳児院
2.介護老人保健施設
3.高齢者専用賃貸住宅
4.介護療養型医療施設
5.認知症対応型共同生活介護(グループホーム)
>>解答・解説を見る(会員限定)
問題90
妊娠血圧症候群(pregnancy-induced hypertension)について正しいのはどれか。2つ選べ。
1.有酸素運動で軽快する。
2.高蛋白質食で軽快する。
3.肥満妊婦に生じやすい。
4.病型の1つとして(eclampsia)がある。
5.胎児の健康状態への影響はない。
>>解答・解説を見る(会員限定)
次の文を読み91~93の問いに答えよ。
Aさん(58歳、男性)、建築作業員。趣味はジョギングで毎日5kmを走っている。55歳のときに肺気腫(pulmonary emphysema)を指摘されている。1か月前から咳嗽が続いて止まらないため、自宅近くの病院を受診した。胸部エックス線撮影で異常陰影が認められ、精密検査の結果、右下葉に肺癌(lung cancer)が見つかり、標準開胸右下葉切除術が予定された。20歳から喫煙歴があり、肺気腫(pulmonary emphysema)を指摘されるまで1日40本程度吸っていた。
問題91
手術は無事終了し、胸腔ドレーンが挿入されたが、水封ドレナージのみで持続吸引は行われていない。
術直後、胸腔ドレーンの先端から呼気時にエアリークが認められた。ドレーン挿入部と接続部とを確認したが異常はなかった。医師は、「再手術は経過を見て判断する」と言っている。
看護師の対応として適切なのはどれか。
1.水平仰臥位にする。
2.肩関節の運動を促す。
3.ドレーンをクランプする。
4.皮下気腫の出現に注意する。
>>解答・解説を見る(会員限定)
問題92
術後2日。硬膜外持続鎮痛法が行われているが、Aさんは咳嗽時や体動時に苦痛を表情している。
看護師の対応として適切なのはどれか。
1.体動を少なくするように指導する。
2.創部のガーゼの上から温罨法を行う。
3.鎮痛薬の追加使用について医療と検討する。
4.胸腔ドレーンの吸引圧について医師と検討する。
>>解答・解説を見る(会員限定)
問題93
エアリークは自然に消失し、経過は良好であるため退院予定となった。体動時の痛みは持続しているが、ADLに支障はない。
Aさんへの退院時の生活指導として適切なのはどれか。
1.「傷の痛みはすぐによくなりますので心配ありません」
2.「リハビリテーションはジョギングから始めましょう」
3.「外出時はマスクを使用してください」
4「.退院後、2、3日から入院前と同じ仕事をしても大丈夫です」
>>解答・解説を見る(会員限定)
次の文を読み94~96の問いに答えよ。
Aさん(40歳、男性)。入院時体重65kg。既往歴に特記すべきことはなく、全身状態は良好である。胃癌(gastric cance)のため胃全摘出術を受けた。術中の出血量は450mlで輸血はされなかった。術後1日、体温37.5℃、呼吸数24/分、脈拍120/分、血圧162/90mmHg。Hb14.8g dl。経皮的動脈血酸素飽和度<SpO2>92%(酸素吸入3ℓ/分)。尿量50ml/時。創部のドレーンからは少量の淡血性排液がある。硬膜外持続鎮痛法が行われているが、創痛が強いため呼吸が浅く、離床はできていない。
問題94
術後1日のAさんのアセスメントで適切なのはどれか。2つ選べ。
1.体温の上昇は感染による。
2.脈拍の増加は貧血になる。
3.血圧の上昇は麻酔の影響による。
4.酸素飽和度の低下の創痛による。
5.尿量の減少は循環血液量の減少による。
>>解答・解説を見る(会員限定)
問題95
術後1週から食事が開始されたが、毎食後に下腹部痛を伴う下痢があり、Aさんは「食事をするのが怖い」と訴えた。
看護師が確認する必要があるのはどれか。
1.食後の本位
2.1日の歩行量
3.術前の食事の嗜好
4.食事摂取の所要時間
>>解答・解説を見る(会員限定)
問題96
下痢の回数は減り、摂食も良好で、術後3週で退院が決定した。
Aさんへの退院指導で正しいのはどれか。2つ選べ。
1.炭水化物を中心にした食事を勧める。
2.下痢は1か月程度でおさまると説明する。
3.食事は分割して少量ずつ摂取するよう勧める。
4.食後に冷汗が出たら水分を摂るように説明する。
5.ビタミンB12が吸収されにくくなると説明する。
>>解答・解説を見る(会員限定)
次の文を読み97~99の問いに答えよ。
Aさん(52歳、男性)、自営業。既往歴に特記すべきことはない。
屋根を補修するためにはしごを登っていたところ、足を滑られて転落し、頭部を打撲した。
救急車で病院に搬送され、頭部CTで、右前頭葉と側頭葉の脳挫傷(cerebral contusion)と右側頭葉の脳内血腫(intracerebral hematoma)を認めた。
問題97
入院時、Aさんは痛み刺激に対しても開眼することなく、払いのけるような動作をするのみで、左上下肢の動きが右上下肢に比べて弱かった。ジャパン・コーマ・スケール・<JCS>による評価はどれか。
1.Ⅱ-20
2.Ⅱ-30
3.Ⅲ-100
4.Ⅲ-200
5.Ⅲ-300
>>解答・解説を見る(会員限定)
問題98
緊急で開頭血腫除去術が行われ、硬膜外にドレーンが挿入された。術後はICUに入室した。
ICU入室6時間後のAさんの状態は、血圧138/76mmHg、脈拍82/分、体温37.4℃。呼びかけに対して容易に開眼し、簡単な指示に応じることができるようになった。しかし、その後2時間で意識レベルが術前のレベルまで進行性に低下した。血圧156/68mmHg、脈拍67/分、体温37.8℃、経皮的動脈血酸素飽和度<SpO2>96%(酸素吸入3ℓ/分)。
この状態から考えられるAさんの病態として適切なのはどれか。
1.術後感染
2.脳血管攣縮
cerebrovascular spasm
3.低酸素血症
hypoxemia
4.術後頭蓋内出血
Intracranial hemorrhage
>>解答・解説を見る(会員限定)
問題99
このときのAさんへの看護で適切なのはどれか。
1.後頭部を氷枕で冷やす。
2.上半身を30度程度挙上する。
3.左上下肢の関節屈曲運動を行う。
4.右上肢を抑制して硬膜外ドレーン抜去を予防する。
>>解答・解説を見る(会員限定)
次の文を読み100~102の問いに答えよ。
Aさん(50歳、男性)は、双極性障害(bipolar disorder)で、これまでにうつ状態と躁状態で入院歴がある。会社員の兄と2人暮らしている。3か月前から服薬を中断するようになり、気分が沈みはじめ、1週前から朝起きられなくなった。2日前から1日中ベッドの中にいるようになったため。兄に付き添われて入院した。入院時は亜昏迷状態で、発語はほとんどなく、自力での歩行が困難なほど脱力が強かった。入院後、三環系抗うつ薬が開始された。
問題100
入院当日の看護として適切なのはどれか。2つ選べ。
1.発語を促す。
2.入浴を促す。
3.食物形態を工夫する。
4.個室への入所を勧める。
5.レクリエーションへの参加を勧める。
>>解答・解説を見る(会員限定)
問題101
Aさんの排泄に関する排泄に関する看護として適切なのはどれか。2つ選べ。
1.便秘を予防する。
2.水分摂取を制限する。
3.排尿の有無を観察する。
4.排泄回数を記載するよう説明する。
5.自分でポータブルトイレを使用するよう説明する。
>>解答・解説を見る(会員限定)
問題102
Aさん精神状態の経過観察において最も注意するべき症状はどれか。
1.錯乱
2.強迫行為
3.失見当識
4.気分高揚
>>解答・解説を見る(会員限定)
次の文を読み103~105の問いに答えよ。
Aさん(40歳、女性)は統合失調症(schizophrenia)で入院歴があり、退院後は共同生活援助(グループホーム)を利用していた。1週前から同じグループホームに住む女性と口論したり、夜中にグループホームから飛び出したりするようになったため、職員に付き添われて精神科病院を受診した。診察時は、Aさんは意味不明の言葉を発し、時々興奮したように大声で叫んだ。また、診察室から飛び出したり、衣服を脱いだりする行為も観察された。
問題103
入院を開始するために必要な情報で優先度が高いのはどれか。
1.保護者の有無
2.前回の入院形態
3.自立支援給付の受給状態
4.精神障害者保険福祉手帳の取得状況
>>解答・解説を見る(会員限定)
問題104
診察の結果、Aさんは入院することになり、外来看護師に付き添われて閉鎖病棟に来た。
病棟の入り口でドアを開けた看護師が優先的に行うのはどれか。
1.持参した薬を確認する。
2.病棟のホールに誘導する。
3.他の病棟スタッフに協力を要請する。
4.入院のオリエンテーションを実施する。
>>解答・解説を見る(会員限定)
問題105
入院後2週、症状が安定して、意思の疎通も良好となり、興奮もみられなくなった。入院後1か月にはADLもほぼ自立していた。入院後1か月のAさんへの看護で適切なのはどれか。2つ選べ。
1.長期間の入院が必要であると説明する。
2.退院して家族と同居することを検討する。
3.入居していたグループホームと連絡を取る。
4.警察にAさんの退院予定日を知らせておく。
5.服薬の自己管理を開始するためのアセスメントを行う。
>>解答・解説を見る(会員限定)
次の文を読み106~108の問いに答えよ。
Aさん(48歳、女性)は、重症筋無力症(myasthenia gravis)を5年前に発症し、初期から副腎皮質ステロイドの内服治療を受けて自宅で生活している。現在は、眼瞼下垂、複視および上下肢の筋力低下がある。日中は、時間をかければ身の回りのことはできている。月1回の外来受診は強い疲労を伴う。夫は離婚し、高校生の長女と2人で暮らしている。また、訪問サービスは訪問看護のみを利用している。
問題106
Aさんは「最近、口の中が痛いし、食事もおいしくない」と言う。口角に発赤があり、舌、上口蓋および頬粘膜に白色のものが付着して、その一部に出血がみられる。
Aさんの症状の原因として最も可能性が高いのはどれか。
1.う蝕(dental caries)
2.歯周病(periodontal disease)
3.口腔乾燥症(xerostomia)
4.鵞口瘡(thrush)<口腔カンジダ症>(oral candidiasis)
>>解答・解説を見る(会員限定)
問題107
Aさんがセルフケア能力を維持して、口腔内の清潔を保つための訪問看護師の対応で適切なのはどれか。2つ選べ。
1.歯磨きの自助具を紹介する。
2.含嗽はしないように指導する。
3.筋力低下の日内差について尋ねる。
4.長女が口腔ケアを行うよう助言する。
5.歯磨きは食事の前後に行うように指導する。
>>解答・解説を見る(会員限定)
問題108
Aさんは「娘と生活を「続けるために私も頑張らなくてはいけないと思っている」と言う。
訪問看護師のAさんへの対応で適切なのはどれか。
1.「Aさんの頑張り次第です」
2.「将来は娘さんに介護してもらいましょう」
3.「将来は施設に入所することを考えましょう」
4.「ホームヘルパーの支援を受けることも考えましょう」
>>解答・解説を見る(会員限定)
次の文を読み109~111の問いに答えよ。
Aさん(87歳、女性)は、6年前にAlzheimer<アルツハイマー>型認知症(dementia of Alzheime type)を発症した。在宅で療養していたが、夫は介護に疲れたために施設に入所した。
現在、長谷川式簡易知的機能評価スケール<HDS-R>10点、障害高齢者の日常生活自立度判定基準B-1である。下肢筋力や立位バランスの低下がある。自宅では自分で車椅子に移乗してトイレに行き排泄していた。
尿失禁はなかった。入所直後、Aさんは表情が険しく落ち着きがなく、看護師が声をかけても応じない。自発的にトイレに行きたいという発言はなく、着衣で尿を汚染することが多いためトイレ誘導を行うことにした。
問題109
看護師の対応で最も適切なのはどれか。
1.大きな声で尿意を尋ねる。
2.就寝中も起こしてトイレに誘導する。
3.施設で決められた時刻にトイレに誘導する。
4.声をかけても応じない場合は様子を見て再度トイレに勧誘する。
>>解答・解説を見る(会員限定)
問題110
入所後2週。Aさんの表情は穏やかになり行動も落ち着くようになった。自発的に車椅子に乗り廊下を移動している。
尿意はあるが、尿失禁が続いている。尿失禁の状態を把握するために行う看護師の対応で適切なのはどれか。
1.排泄動作の全介助する。
2.夜間は下着をオムツに変更する。
3.尿失禁の不快感について質問する。
4.廊下を移動中、トイレに行きたいのかを確認する。
>>解答・解説を見る(会員限定)
問題111
入院後3週。排尿行動の自立を目標とする看護計画を立案した。
看護計画として最も適切なのはどれか。
1.昼夜ともオムツは使用しない。
2.トイレの標示を目立つよう工夫する。
3.尿で汚染した着衣を自分で片づけるよう指導する。
4.尿意を感じた際にはナースコールで呼ぶよう説明する。
>>解答・解説を見る(会員限定)
次の文を読み112~114の問いに答えよ。
Aさん(24歳、初産婦)、事務職。妊娠8週である。現在、両親と妹との4人で暮らしている。パートナーは24歳の大学院2年生で就職が内定しており、Aさんと結婚する予定である。
問題112
Aさんは「気持ちが悪いのであまり食べられません。ご飯が炊き上がるにおいだけで吐き気がします」と話している。妊娠経過は順調である。
Aさんへの食事指導で最も適切なのはどれか。
1.水分は糖分を含んだ飲料にする。
2.栄養のバランスを崩さずに摂取する。
3.1回量を少なくして食べる回数を増やす。
4.積極的にカロリーの高い食物を摂取する。
>>解答・解説を見る(会員限定)
問題113
Aさんは「妊娠することは考えていなかったので、自分の体にどんなことが起こるのか想像もつきません」と話した。
看護師は、次の妊娠健康診査までに生じやすい変化について説明することにした。
Aさんに説明する内容で適切なのはどれか。2つ選べ。
1.痔
2.便秘
3.静脈癌
4.滞下の増加
5.皮膚の瘙痒感
>>解答・解説を見る(会員限定)
問題114
妊娠16週の妊娠健康診査で、Aさんは「母親になる実感はまだありません。妊娠するといろいろなことが起こって驚くばかりです」と話した。妊娠経過は順調である。既にパートナーと結婚し、新居に引っ越している。
Aさんへの指導で最も優先度が高いのはどれか。
1.保育所の選択
2.育児用品の準備
3.バースプランの立案
4.出産準備教室への参加
>>解答・解説を見る(会員限定)
次の文を読み115~117の問いに答えよ。
A君(8歳、男児)。公園から自転車で帰宅途中に転倒し、利き腕である右肘を強打した。疼痛と腫脹とがあり受診した。単純エックス線撮影の結果、右上腕骨顆上骨折(supracondylar fracture of humerus)と診断され、治療のために入院した。
問題115
A君の上腕から手関節までシーネ固定を行った。患肢の観察項目で最も優先度は高いのはどれか。
1.知覚
2.かゆみ
3.出血量
4.関節拘縮
>>解答・解説を見る(会員限定)
問題116
入院後2日。全身麻酔下で骨接合術で施行され、再び上腕から手関節までシーネ固定を行った。術後の全身状態は安定しており、夕食から食事が開始された。
このときのA君の食事摂取の方法で最も適切なのはどれか。
1.側臥位で摂取する。
2.流動食を摂取する。
3.左手を使って摂取する。
4.右手を使って摂取する。
>>解答・解説を見る(会員限定)
問題117
術後8日、上腕から手関節までギプス固定を行った。術後10日に退院し、5週後に外来で抜針術を行う予定である。
退院指導で適切なのはどれか。
1.外での遊びに制限はない。
2.ギプスがとれるまで入浴しない。
3.患肢に痛みがあるときは受診する。
4.患側の指先に冷感があるときは温める。
>>解答・解説を見る(会員限定)
次の文を読み118~120の問いに答えよ。
Aちゃん(2歳0か月、女児)。昨日から下痢と嘔吐とを繰り返し、食事が摂れなくなっため、母親に抱かれて小児科外来を受診した。診察の結果、ウイルス性胃腸炎(viral gastroenteritis)と診断され入院した。入院時、体温38.2℃、呼吸数36/分、心拍数136/分であった。1週前の保育所の身体計測では身長89cm、体重12.0kgであった。個室隔離とし、点滴静脈内注射による持続輸液が開始された。
問題118
Aちゃんの体重を測定したところ11.6kgであった。皮膚の状態は前腕をつまむとすぐもどる。尿検査のため採尿パックを貼ると黄色の尿が10ml採取された。Aちゃんは、診察と処置が行われている間、ずっと母親に抱かれて泣いており、涙で頬を濡らしていた。
Aちゃんのアセスメントで正しいのはどれか。
1.脱水症状はない。
2.軽度脱水である。
3.中等度脱水である。
4.重度脱水である。
>>解答・解説を見る(会員限定)
問題119
入院翌日。Aちゃんは活気がなく臥床している。下痢症状は改善し嘔吐もみられなくなったが、時々顔をしかめており、母親は「まだおなかが痛いみたいです」と看護師に話す。
Aちゃんの痛みへの対応で適切なのはどれか。
1.食事摂取を促す
2.日中も部屋を暗くする。
3.1人で過ごすようにする。
4.Aちゃんが好きな絵本を読み聞かせる。
>>解答・解説を見る(会員限定)
問題120
Aちゃんは、排泄が自立していないため紙オムツを使用している。看護師は殿部を観察すると発赤とびらんとがみられた。
Aちゃんへの看護で適切なのはどれか。
1.布オムツを使用する。
2.38~39℃の湯で殿部浴を行う。
3.オムツを外し、殿部を開放しておく。
4.アルコール入りのおしり拭きで殿部の清拭を行う。
>>解答・解説を見る(会員限定)
第102回看護師国家試験(午後問題)
問題1
日本の平成22年(2010年)における女性の平均寿命はどれか。
1.76.39年
2.79.64年
3.86.39年
4.89.64年
>>解答・解説を見る(会員限定)
問題2
炭鉱従事者に起こりやすい職業性疾患はどれか。
1.潜函病(dysbarism)
2.じん肺(pneumoconiosis)
3.中皮腫(mesothelioma)
4.白ろう病(white finger disease)
>>解答・解説を見る(会員限定)
問題3
介護保険制度における施設サービス費の原則的な利用者負担の割合はどれか。
1.1割
2.2割
3.3割
4.5割
>>解答・解説を見る(会員限定)
問題4
倫理原則の「善行」はどれか。
1.患者に身体的損傷を与えない。
2.患者に利益をもたらす医療を提供する。
3.すべての人々に平等に医療を提供する。
4.患者が自己決定した内容を尊重する。
>>解答・解説を見る(会員限定)
問題5
マズーロ,A.H.(MaslowA.H )の基本的欲求階層論で最も低次の欲求はどれか。
1.自己実現の欲求
2.所属と愛の欲求
3.生理的欲求
4.安全の欲求
>>解答・解説を見る(会員限定)
問題6
標準的な発育をしている児において体重が出生時の約2倍になる月齢はどれか。
1.1か月
2.3ヶ月
3.6ヶ月
4.9ヶ月
>>解答・解説を見る(会員限定)
問題7
標準的な発育をしている児において脳重量が成人の約90%に達する年齢はどれか。
1.5~6歳
2.8~9歳
3.11~12歳
4.15~16歳
>>解答・解説を見る(会員限定)
問題8
乳児期の特徴はどれか。
1.分離不安
2.第一次反抗期
3.ギャングエイジ
4.自我同一性の確立
>>解答・解説を見る(会員限定)
問題9
平成22年(2010年)国民生活基礎調査で、65歳以上の者のいる世帯の全世帯に占める割合はどれか。
1.22.6%
2.32.6%
3.42.6%
4.52.6%
>>解答・解説を見る(会員限定)
問題10
健常な成人の体重における水分の割合に最も近いのはどれか。
1.20%
2.40%
3.60%
4.80%
>>解答・解説を見る(会員限定)
問題11
血中濃度が上昇すると黄疸となるのはどれか。
1.グルコース
2.ビリルビン
3.クレアチニン
4.総コレステロール
>>解答・解説を見る(会員限定)
問題12
抹消血液中の□が低下した状態を貧血という。□に入るのはどれか。
1.血漿量
2.血小板数
3.アルブミン濃度
4.ヘモグロビン濃度
>>解答・解説を見る(会員限定)
問題13
表在感覚の受容器が存在する部位はどれか。
1.筋肉
2.皮膚
3.関節
4.骨
>>解答・解説を見る(会員限定)
問題14
Koplik(コプリック)斑がみられる疾患はどれか。
1.麻疹(measles)
2.手足口病(Hand, foot and mouth disease)
3.帯状疱疹(herpes zoster)
4.ヘルパンギーナ(herpangina)
>>解答・解説を見る(会員限定)
問題15
嚥下障害のある患者の食事介助で適切なのはどれか。
1.水分はとろみをつける。
2.頸部を伸展する。
3.一口量を多くする。
4.むせたときには水を飲ませる。
>>解答・解説を見る(会員限定)
問題16
グリセリン浣腸を実施する際、腸管穿孔の危険性が最も高い体位はどれか。
1.立位
2.側臥位
3.仰臥位
4.シムス位
>>解答・解説を見る(会員限定)
問題17
長期臥床によって生じるのはどれか。
1.高血糖
2.筋萎縮
3.食欲増進
4.心拍出量の増加
>>解答・解説を見る(会員限定)
問題18
点滴静脈内注射1800ml/日を行う。一般用輸液セット(20滴≒1ml)を使用した場合、1分間の滴下数はどれか。
1.19滴
2.25滴
3.50滴
4.75滴
>>解答・解説を見る(会員限定)
問題19
温罨法の作用で正しいのはどれか。
1.平滑筋が緊張する。
2.局所の血管が収縮する。
3.知覚神経の興奮を鎮静する。
4.細胞の新陳代謝を抑制する。
>>解答・解説を見る(会員限定)
問題20
AEDの使用方法で正しいのはどれか。
1.電極パットは水で濡らしてから貼る。
2.電極パッドは心臓をはさむ位置に貼る。
3.通電時は四肢を押さえる。
4.通電直後は患者に触れない。
>>解答・解説を見る(会員限定)
問題21
災害時のトリアージで最優先治療群のトリアージタッグはどれか。
1.赤
2.黄
3.黒
4.緑
>>解答・解説を見る(会員限定)
問題22
McBurney(マックバーネー)点の圧痛を特徴とする疾患はどれか。
1.胃潰瘍
gastric ulcer
2.急性膵炎
acute pancreatitis
3.尿管結石症
ureterolithiasis
4.急性虫垂炎
acute appendicitis
5.子宮内膜症
endometriosis
>>解答・解説を見る(会員限定)
問題23
神経性食欲不振症(anorexia nervosa)の症状または所見はどれか。
1.発熱
2.咳嗽
3.徐脈
4.高血圧
5.過多月経
>>解答・解説を見る(会員限定)
問題24
長期間の使用によって満月様顔貌<ムーンフェイス>になるのはどれか。
1.ヘパリン
2.インスリン
3.テオフィリン
4.プレドニゾロン
5.インドメタシン
>>解答・解説を見る(会員限定)
問題25
努責やくしゃみをしたときに生じる尿失禁はどれか。
1.溢流性尿失禁
overflow incontinence of urine
2.機能性尿失禁
functional incontinence of urine
3.切迫性尿失禁
urge incontinence of urine
4.反射性尿失禁
reflex incontinence of urine
5.腹圧性尿失禁
stress incontinence of urine
>>解答・解説を見る(会員限定)
問題26
血中カルシウム濃度を上昇させるホルモンを分泌する器官はどれか。
1.副甲状腺
2.甲状腺
3.下垂体
4.副腎
>>解答・解説を見る(会員限定)
問題27
ヒトの精子細胞における染色体の数はどれか。
1.22本
2.23本
3.44本
4.46本
>>解答・解説を見る(会員限定)
問題28
低値によって脂質異常症(dyslipidemia)と診断される検査項目はどれか。
1.トリグリセリド
2.総コレステロール
3.低比重リポ蛋白コレステロール〈LDL-C〉
4.高比重リポ蛋白コレステロール〈HDL-C〉
>>解答・解説を見る(会員限定)
問題29
麻痺すると猿手を生じるのはどれか。
1.総腓骨神経
2.橈骨神経
3.尺骨神経
4.正中神経
>>解答・解説を見る(会員限定)
問題30
労働基準法において、就業中の妊産婦から請求がなくても使用者が処遇すべきなのはどれか。
1.産前6週間の就業禁止
2.産後6週間の就業禁止
3.深夜業の就業禁止
4.育児時間の確保
>>解答・解説を見る(会員限定)
問題31
ノーマライゼーションに基づくのはどれか。
1.救急搬送体制を整備すること
2.医療機関にいつでも受診ができること
3.公共交通機関をバリアフリー化すること
4.障害者に介護施設への入所を勧めること
>>解答・解説を見る(会員限定)
問題32
日本の平成21年(2009年)の人口動態統計における悪性新生物に関する記述で正しいのはどれか。
malignant neoplasm
1.死因別順位は第2位である。
2.年間死亡者数は約80万人である。
3.部位別にみた年齢調整死亡率は男性では胃が最も高い。
4.部位別にみた死亡者数は気管、気管支及び肺が最も多い
>>解答・解説を見る(会員限定)
問題33
聴覚障害のある患者とのコミュニケーションで正しいのはどれか。
1.補聴器の使用中は低音で話す。
2.手話のときは口元を動かさない。
3.音の反響が強い場所を選択する。
4.感音性難聴の場合は大きな声で話す。
>>解答・解説を見る(会員限定)
問題34
結核菌の消毒に効果があるのはどれか。
1.エタノール
2.アクリノール
3.ベンザルコニウム
4.クロルヘキシジン
>>解答・解説を見る(会員限定)
問題35
四肢に障害がない患者を仰臥位から側臥位に体位変換するときの姿勢を図に示す。適切なのはどれか。

>>解答・解説を見る(会員限定)
問題36
インシデントレポートについて正しいのはどれか。
1.警察への届出義務がある。
2.法令で書式が統一されている。
3.事故が発生するまで報告しない。
4.異なる職種間で内容を共有する。
>>解答・解説を見る(会員限定)
問題37
口腔ケアの効果として正しいのはどれか。
1.プラークの形成
2.唾液分泌の促進
3.口腔内のpHの酸性化
4.バイオフィルムの形成
>>解答・解説を見る(会員限定)
問題38
薬とその副作用の組合せで正しいのはどれか。
1.抗ヒスタミン薬-------------難聴
2.スルホニル尿素薬-------------咳嗽
3.中枢性麻薬性鎮咳薬-------------便秘
4.アミノグリコシド系薬-----------骨粗鬆症
>>解答・解説を見る(会員限定)
問題39
成人の腸骨の骨髄穿刺で適切なのはどれか。
1.穿刺前6時間は絶食とする。
2.穿刺は仰臥位で行う。
3.穿刺時は深呼吸を促す。
4.穿刺後、穿刺部位は圧迫止血する。
>>解答・解説を見る(会員限定)
問題40
食の支援に関わる職種とその役割の組合せで適切なものはどれか。
1.歯科衛生士-----義歯の作成
2.管理栄養士-----経腸栄養の処方
3.言語聴覚士------嚥下機能の評価
4.薬剤師------摂食行動の評価
>>解答・解説を見る(会員限定)
問題41
人口呼吸器による陽圧換気によって生じるのはどれか。
1.肺水腫
pulmonary edema
2.脳内出血
intracerebral hemorrhage
3.胃液分泌の低下
4.心拍出量の低下
>>解答・解説を見る(会員限定)
問題42
手術中に下肢に弾性ストッキング着用する主な目的はどれか。
1.浮腫の軽減
2.筋力の維持
3.体温低下の予防
4.深部静脈血栓形成の予防
>>解答・解説を見る(会員限定)
問題43
外傷性脳損傷t(traumatic brain injury)によって軽度記憶障害のある患者への認知リハビリテーションで適切なのはどれか。
1.簡単な計算を取り入れる。
2.毎日新しい行動を試みる。
3.暗記の練習のときはメモをとる。
4.視覚的なイメージより言葉のほうが記憶しやすい。
>>解答・解説を見る(会員限定)
問題44
腰椎転移のある食道癌(esophageal cancer)の患者。癌性疼痛にフェンタニル貼付剤を使用しているが、右下肢に神経因性疼痛が頻発している。1日に4~6回レスキューとしてのモルヒネ注射薬を使用しており、入眠すると15秒程度の無呼吸がみられる。
緩和ケアチームで検討すべき対応はどれか。
1.酸素吸入
2.鎮痛補助薬の使用
3.モルヒネ注射薬の増量
4.フェンタニル貼付剤の増量
>>解答・解説を見る(会員限定)
問題45
慢性腎不全(chronic renal failure)で透析導入を判断するときの指標となる検査はどれか。
1.尿酸〈UA〉値
2.糸球体濾過値〈GFR〉
3.点滴静注腎盂造影〈DIP〉
4.PSP〈フェノールスルホンフタレイン〉15分値
>>解答・解説を見る(会員限定)
問題46
1年前にハチに刺された人が再びハチに刺された。起こる可能性のあるアレルギー反応はどれか。
1.Ⅰ型アレルギー
2.Ⅱ型アレルギー
3.Ⅲ型アレルギー
4.Ⅳ型アレルギー
>>解答・解説を見る(会員限定)
問題47
電動のこぎりの操作ミスで、左第2指と3指とも近位指節間〈PIP〉関節と遠位指節間〈DIP〉関節の間で切断した患者が、手指の再接着術を受けた。他に外傷はない。
術後1日の観察で適切なのはどれか。
1.Volkmann〈フォルクマン〉拘縮の有無
Volkmann contracture
2.中手指節〈MP〉関節の関節可動域
3.遠位部の血液循環の状態
4.接着部の瘢痕化
>>解答・解説を見る(会員限定)
問題48
スパイロメトリーの結果による換気機能診断図を示す。

閉塞性換気障害(obstructive ventilatory impairment)と診断される分類はどれか。
1.A
2.B
3.C
4.D
>>解答・解説を見る(会員限定)
問題49
精神看護に関連する理論と理論家の組合せで正しいのはどれか。
1.現存在分析-----------フロイト.S.
Freud.S
2.ストレス理論---------シュナイダー.K
Schneider.K.
3.精神発達理論----------オレム.D.
Orem.D.
4.患者ー看護師関係--------ペプロウ.E.
Peplau, E
>>解答・解説を見る(会員限定)
問題50
選択的セロトニン再取り込み阻害薬〈SSRI〉について正しいのはどれか。
1.パニック障害に対する効果はない。
2.抗コリン作用は三環系抗うつ薬よりも弱い。
3.うつ状態が改善したら直ちに使用を中止する。
4.抗うつ効果の評価は投与開始後3日以内に行う。
>>解答・解説を見る(会員限定)
問題51
リエゾン精神看護に関する説明で正しいのはどれか。
1.直接ケアは含まれない。
2.精神疾患の既往のある患者は対象とならない。
3.看護師は必要に応じて精神病床への移動を指示できる。
4.身体疾患と精神的問題とを併せ持つ患者を対象とする。
>>解答・解説を見る(会員限定)
問題52
精神科病院に入院中の患者の法的処遇について正しいものはどれか。
1.患者は退院を請求できる。
2.看護師は面会を制限できる。
3.保護者は外出の可否を判断できる。
4.精神保健指定医は手紙の発信を制限できる。
>>解答・解説を見る(会員限定)
問題53
Aさん(19歳、女性)は、境界性人格(borderline personality disorder)〈パーソナリティ〉障害で入院している。病棟では、安全管理のため、個人用の爪切りをナースステーションで管理している。Aさんが自分の爪切りを使用した後、看護師が返却を求めると「主治医の先生は自分で持っていてもいいって言ったのよ」と攻撃的な口調で抵抗した。この日、主治医は不在であった。
Aさんへの対応として最も適切なのはどれか。
1.「先生はそのようなことは言わないと思います」
2.「先生は不在なので、私の指示に従ってください」
3.「病棟の安全が守れないので退院していただきます」
4.「先生に確認がとれるまで、こちらでお預かりします」
>>解答・解説を見る(会員限定)
問題54
Aさん(78歳)は、妻(76歳)と2人で暮らしている。糖尿病 (Diabetes Mellitus)と診断されている。認知症(dementia)ではない。主治医の指示でインスリン自己注射を指導するために訪問看護が導入された。Aさんは「針が怖いから、看護師さんが注射をしてください」と言う。
Aさんへの訪問看護師の対応で適切なのはどれか。
1.「針は細いので怖くないです」
2.「一緒に少しずつやっていきましょう」
3.「注射ができないと家での療養は難しくなります」
4.「そうですね。Aさんも奥さんもしなくていいです」
>>解答・解説を見る(会員限定)
問題55
介護保険法施行令において特定疾病に指定されているのはどれか。
1.脊髄損傷(spinal cord injury)
2.Crohn〈クローン〉病(Crohn disease)
3.脳血管疾患(cerebrovascular disease)
4.大腿骨頭部骨折(femoral neck fracture)
>>解答・解説を見る(会員限定)
問題56
Aさん(68歳)は要介護1で、1人で暮らしている。間質性肺炎(interstitial pneumonia)のために在宅酸素療法が開始された。
Aさんのサービス担当者会議で訪問看護師が行う提案で適切なのはどれか。
1.炊事の禁止
2.毎日の体温測定
3.1人での外出禁止
4.訪問入浴サービスの導入
>>解答・解説を見る(会員限定)
問題57
Aさんは、要介護2で在宅療養をしている。仙骨部に2cm×3cmの水疱を形成した。この1週間、臥床していることが多くなり、食事摂取量も減ってきている。
訪問看護師がAさんの家族に行う提案として適切なのはどれか。
1.体圧分散マットの使用
2.膀胱留置カテーテルの留置
3.夜間の2時間ごとの体位変換
4.訪問介護への褥瘡処置の依頼
>>解答・解説を見る(会員限定)
問題58
高齢者から生活史を聴取する方法として適切なのはどれか。
1.家族の承諾を必須とする。
2.認知機能の評価尺度を用いる。
3.事実とは異なる部分を修正する。
4.高齢者自身の生きてきた時代背景を聴く。
>>解答・解説を見る(会員限定)
問題59
平成3年(1991年)に国連総会で決議された「高齢者のための国連原則」でないのはどれか。
1.公平の原則
2.参加の原則
3.尊厳の原則
4.自己実現の原則
>>解答・解説を見る(会員限定)
問題60
介護老人福祉施設に入居中の高齢者。認知症高齢者の日常生活自立判定基準Ⅳ、四肢の麻痺はない。衣類の選択について最も適切なのはどれか。
1.材質選びは本人に任せる。
2.ボタンでとめる上着を選ぶ。
3.夜間就寝時には寝衣に着替える。
4.皮膚の瘙痒感があれば、つなぎ服を着用させる。
>>解答・解説を見る(会員限定)
問題61
Aさん(80歳、女性)は脳血管性認知症 (cerebrovascular dementia)、Mini-Mental State Examination〈MMSE〉18点で施設に入所している。看護師が「お風呂に入りますよ」と声をかけると、Aさんは「男の人は入っていないか」と尋ねる。看護師が「男の人はいませんよ」と説明するが、Aさんは「本当にいないのか」と繰り返し、なかなか納得しない。
Aさんへの看護師の対応で最も適切なのはどれか。
1.「男の人はいないからいきましょう」
2.「お風呂に入ったら気持ちよくなりますよ」
3.「遅くなったらお風呂に入れなくなりますよ」
4.「男の人がいないことを一緒に確認してみましょうか」
>>解答・解説を見る(会員限定)
問題62
加齢による身体生理機能の変化とそれによって影響を受ける薬物動態の組合せで正しいのはどれか。
1.体内水分量の減少-----------代謝
2.体内脂肪量の増加-----------排泄
3.血清アルブミンの減少--------分布
4.糸球体濾過値〈GFR〉の低下------吸収
>>解答・解説を見る(会員限定)
問題63
介護保険サービスについて正しいのはどれか。
1.福祉用具の貸与は無償で受けられる。
2.要支援の高齢者は介護老人保健施設に入所できる。
3.小規模多機能型居宅介護では泊まり(ショートステイ)は提供しない。
4.認知症対応型共同生活介護(グループホーム)ではユニットケアを実施している。
>>解答・解説を見る(会員限定)
問題64
乳児健康診査を規定している法律はどれか。
1.母体保護法
2.母子保健法
3.児童福祉法
4.児童虐待の防止等に関する法律
>>解答・解説を見る(会員限定)
問題65
正常に経過している分娩第1期の産婦への説明で適切なのはどれか。
1.「食事は摂らないようにしてください」
2.「ベッド上で安静にしていてください」
3.「2,3時間に1回は排尿をしてください」
4.「眠気を感じても眠らないようにしてください」
>>解答・解説を見る(会員限定)
問題66
多胎妊娠で起こりやすい妊娠中の異常はどれか。
1.早産
(premature delivery)
2.妊娠悪阻
(hyperemesis gravidarum)
3.妊娠糖尿病
(gestational diabetes mellitus)
4.ビタミンB12欠乏性貧血
(vitamin B12 deficiency anemia)
>>解答・解説を見る(会員限定)
問題67
Aさんは妊娠37週0日に骨盤位のため予定帝王切開術となった。術後の経過は母児ともに順調である。
Aさんへの看護として適切なのはどれか。
1.手術室で出生児と対面する。
2.産褥2日に初回歩行をする。
3.産褥3日に初回授乳をする。
4.産褥4日以降に弾性ストッキングを履く。
>>解答・解説を見る(会員限定)
問題68
子どもの運動機能の発達について正しいのはどれか。
1.身体の下部から頭部の方向に進む。
2.全身的な動きから細かな動きへ進む。
3.新生児期には遺伝より環境の影響を受ける。
4.反射運動は乳児期後期から幼児期にかけて活発になる。
>>解答・解説を見る(会員限定)
問題69
乳児の事故防止として正しいのはどれか。
1.直径25㎜の玩具で遊ばせる。
2.ベッドにいるときはベッド柵を上げる。
3.うつ伏せで遊ばせるときは柔らかい布団を敷く。
4.屋外で遊ばせるときはフード付きの衣服を着用させる。
>>解答・解説を見る(会員限定)
問題70
A君(14歳、男子)は、心室中隔欠損症(ventricular septal defect)のために通院している。
母親とともに外来を受診しているが、母親がトイレに行った際に、A君は「自分の心臓のことはよく理解しているし、もう1人で受診したいけど、母さんが心配だから一緒に行くってうるさくて」と看護師に話した。
看護師の最初の対応として適切なのはどれか。
1.母親にA君への関わりが過保護だと伝える。
2.母親の心配を理解してあげなさいとA君に話す。
3.次回からは1人で受診してもよいとA君に話す。
4.母親がいない場でA君の気持ちを聴く機会をもつ。
>>解答・解説を見る(会員限定)
問題71
A君(11歳、男児)。喘息asthma発作のため救急外来に来院した。喘息が著明で、経皮的動脈血酸素飽和度〈SpO2〉88%(room air)、ピークフロー値45%である。
まず行うべきA君への対応で適切なのはどれか。
1.起坐位を保つ。
2.水分摂取を促す。
3.胸式呼吸を促す。
4.発作の状況を尋ねる。
>>解答・解説を見る(会員限定)
問題72
水溶性ビタミンはどれか。
1.ビタミンA
2.ビタミンC
3.ビタミンD
4.ビタミンE
5.ビタミンK
>>解答・解説を見る(会員限定)
問題73
血清に含まれないのはどれか。
1.インスリン
2.アルブミン
3.γ-グロブリン
4.β-グロブリン
5.フィブリノゲン
>>解答・解説を見る(会員限定)
問題74
出血が止まりにくくなる服用薬はどれか。
1.β遮断薬
2.ジギタリス
3.ワルファリン
4.ループ利尿薬
5.サイアザイド系利尿薬
>>解答・解説を見る(会員限定)
問題75
老視の原因はどれか。
1.瞳孔括約筋の筋力低下
2.水晶体の弾力低下
3.網膜の色素変体
4.硝子体の混濁
5.水晶体の混濁
>>解答・解説を見る(会員限定)
問題76
脳塞栓症(cerebral embolism) を生じやすい不整脈(Arrhythmia)はどれか。
1.心房細動(atrial fibrillation)
2.WPW症候群(WPWsyndrome)
3.心房性期外収縮(atrial premature contraction)
4.心室性期外収縮 (venticular premature contraction)
5.完全房室ブロック(complete atrioventricular block)
>>解答・解説を見る(会員限定)
問題77
ヒト免疫不全ウイルス(HIV)が感染する細胞はどれか。
1.好中球
2.形質細胞
3.Bリンパ球
4.ヘルパー〈CD4陽性)Tリンパ球
5.細胞障害性〈CD8陽性〉Tリンパ球
>>解答・解説を見る(会員限定)
問題78
生活保護法で扶助として定められていないのはどれか。
1.教育
2.医療
3.授産
4.住宅
5.葬祭
>>解答・解説を見る(会員限定)
問題79
内服薬の初回通過効果が主に起こる部位はどれか。
1.口腔
2.肝臓
3.胆嚢
4.膵臓
5.腎臓
>>解答・解説を見る(会員限定)
問題80
放射線被ばく後、新たな発症について長期の観察が必要な障害はどれか。
1.胃炎 (gastritis)
2.食道炎(esophagitis)
3.甲状腺癌(thyroid cancer)
4.高尿酸血症(hyperuricemia)
5.皮膚のびらん
>>解答・解説を見る(会員限定)
問題81
副交感神経の作用はどれか。2つ選べ。
1.瞳孔の散大
2.発汗の促進
3.心拍数の低下
4.気管支の拡張
5.消化液の分泌亢進
>>解答・解説を見る(会員限定)
問題82
小腸からそのまま吸収されるのはどれか。2つ選べ。
1.グルコース
2.スクロース
3.マルトース
4.ラクトース
5.フルクトース
>>解答・解説を見る(会員限定)
問題83
鉄欠乏性貧血(iron-deficiency anemia)の症状または所見として考えられるのはどれか。 2つ選べ。
1.動悸
2.匙状爪
3.ほてり感
4.運動失調
5.皮膚の紅潮
>>解答・解説を見る(会員限定)
問題84
大腸内視鏡検査について正しいのはどれか。2つ選べ。
1.検査前日の朝から絶食とする。
2.腸管洗浄液は6時間かけて内服する。
3.迷走神経反射によって血圧が低下する可能性がある。
4.検査後に嚥下障害を生じる可能性がある。
5.検査後に下血の有無を観察する。
>>解答・解説を見る(会員限定)
問題85
意識障害はどれか。2つ選べ。
1.昏睡
2.制止
3.せん妄
4.途絶
5.フラッシュバック
>>解答・解説を見る(会員限定)
問題86
加齢によって高齢者に脱水が起こりやすくなる理由はどれか。2つ選べ。
1.骨量の減少
2.筋肉量の減少
3.抹消血管抵抗の増強
4.渇中枢の感受性の低下
5.腎臓のナトリウム保持機能の亢進
>>解答・解説を見る(会員限定)
問題87
妊娠の成立について正しいのはどれか。2つ選べ。
1.プロラクリンの急増によって排卵が促される。
2.排卵後、卵子が受精能を有するのは通常24時間である。
3.射精後、精子が受精能を有するのは通常80時間である。
4.着床は受精後7日前後である。
5.受精後、プロゲステロンの分泌がなくなる。
>>解答・解説を見る(会員限定)
問題88
乳児の心拍測定について正しいのはどれか。2つ選べ。
1.心拍数110/分は正常である。
2.聴診ではⅠ音とⅡ音で2心拍となる。
3.バスタオルで体幹および四肢を固定して測定する。
4.呼吸周期に関連した心拍リズムの不整は異常である。
5.聴診器が接触した際の冷感による心拍数の変動に気をつける。
>>解答・解説を見る(会員限定)
問題89
身長160cm、体重64kgである成人のBMIを求めよ。ただし小数点以下の数値が得られた場合には、小数点以下第Ⅰ位を四捨五入すること。

>>解答・解説を見る(会員限定)
問題90
酸素を3L/分で吸入している患者。 移送時に使用する500L酸素ボンベ(14.7MPa充填)の内圧計は4.4MPaを示している。使用可能時間(分)を求めよ。ただし、少数点以下の数値が得られた場合には、小数点以下第1位を四捨五入すること。

>>解答・解説を見る(会員限定)
次の文を読み91~93の問いに答えよ。
Aさん(64歳、男性)は、人工心肺装置を使用した冠動脈バイパス術〈CABG〉を受け、ICUに入室した。手術時間10時間、手術中の輸液量6,200ml、出血量480ml、尿量980mlであった。
問題91
手術直後の血圧72/34mmHg、心拍数110/分、心係数2.0L/分/㎡、肺動脈楔入圧20mmHgであったため、大腿動脈からカテーテルが挿入されて大動脈内バルーンパンピング〈IABP〉が行われている。
Aさんへの看護で適切なのはどれか。
1.四肢に抑制帯を使用する。
2.背部の清拭を禁忌とする。
3.両足背動脈の拍動を確認する。
4.Trendelenburg〈トレンデレンブルグ〉体位にする。
>>解答・解説を見る(会員限定)
問題92
術後1日。経口気管チューブが挿入され、人工呼吸器による補助換気が行われている。
吸入酸素濃度40%、動脈血酸素分圧〈PaO2〉96Torr、動脈血炭酸ガス分圧〈PaCO2〉35Torr。断続性副雑音が聴取され、気道から泡沫状の分泌物が吸引された。胸部エックス線写真で両肺全体に透過性の低下を認める。胸水を認めない。
Aさんに起こっていると考えられる合併症はどれか。
1.無気肺(atelectasis)
2.肺水腫(pulmonary edema)
3.肺血栓塞栓症(pulmonary thromboembolism)
4.人工呼吸器関連肺炎(ventilator-associated pneumonia)
>>解答・解説を見る(会員限定)
問題93
術後4日。人工呼吸器を離脱し、意識は清明である。経鼻酸素によって酸素飽和度は正常範囲を維持している。
左前腕の点滴チューブからカテコラミンが少量投与され、循環機能は安定している。この日の夜、急にAさんの独り言が多くなり、「天井に虫がいる」、「怖いから家に帰る」と繰り返し、点滴チューブを引っ張る動作が見られ、翌朝までほとんど眠っていなかった。
術後5日の看護で適切なのはどれか。
1.家族の面会を制限する。
2.天井の虫は幻覚であると説明する。
3.モーニングケア後に睡眠薬を与薬する。
4.点滴チューブを病衣の袖に通して見えないようにする。
>>解答・解説を見る(会員限定)
次の文を読み94~96の問いに答えよ。
Aさん(54歳、女性)は、10年前に2型糖尿病(Type II diabetes mellitus)と診断され、外来受診を続けていた。
今回血糖コントロールが不良となり、精密検査とインスリン治療を検討するために入院した。
身長154cm、体重45kg、HbA1c9.0%。早朝空腹時血糖値178㎎/dl、食時摂取の指示エネルギー量は1,400kcal/日である。
問題94
入院初日。Aさんは看護師に「10年間頑張っていたつもりだったけど、やっぱり食べ過ぎていたのね」と話す。
看護師の対応で最も適切なのはどれか。
1.「もう少し頑張れるとよかったですね」
2.「食品交換表の使い方を勉強しましょう」
3.「食べ過ぎていたかどうか一緒に確かめてみませんか」
4.「退院後はインスリンを使わなくてすむよう頑張りましょう」
>>解答・解説を見る(会員限定)
問題95
入院後5日。超速効型インスリンの自己注射が開始された。開始7日、Aさんがインスリン注射を忘れて、昼食を食べ始めていたところを看護師が発見した。
看護師の対応で最も適切なのはどれか。
1.食事を中断して血糖値を測定する。
2.食事を中断してインスリン注射をする。
3.インスリン注射の必要性を再度詳しく説明する。
4.今後は看護師が食前に注射をするよう声わかけると説明する。
>>解答・解説を見る(会員限定)
問題96
入院後2週、Aさんは血糖コントロールが改善してきたため、退院予定となった。退院後も毎食前に超速効型インスリンを使用する予定である。Aさんが「家で低血糖にならないか心配」と話したので、退院前に外泊を行って血糖値の変化を確認することにした。外泊中の家での生活、血糖値および摂取エネルギーを表に示す。

Aさんの低血糖予防として適切なのはどれか。
1.朝食前に飴をなめる。
2.掃除を2日に1回とする。
3.午前11時ころに補食を摂る。
4.夕食前の買い物は自転車で行く。
>>解答・解説を見る(会員限定)
次の文を読み97~99の問いに答えよ。
Aさん(23歳、女性)は、大学受験に失敗して以来、自宅に引きこもりがちになった。
母親は、Aさんについて「中学時代までは成績優秀で、手のかからない、おとなしい子どもだった」と言っている。両親と妹との4人で暮らしている。1年前から手洗いを繰り返すようになり、最近では夜中も起き出して手を洗い、手の皮がむけてもやめなくなった。心配した母親が付き添って受診したところ、強迫性障害(Obsessive-Compulsive Disorder)と診断された。Aさんには極度に疲労している様子が見られたことから、本人の同意を得て、その日のうちに任意入院となった。
問題97
入院後、Aさんとの話し合いで1日の手洗いの回数を決めたが、毎日その回数を超えて手洗いを続けており、看護師が確認するといつも洗面所にいる。Aさんが決めた回数を超えて洗面所で手洗いを続けているときの看護師の対応で適切なのはどれか。
1.決めた手洗い回数を増やす。
2.回数制限を守れない理由を問う。
3.洗面所から離れるように誘導する。
4.病棟は清潔であることを説明する。
>>解答・解説を見る(会員限定)
問題98
Aさんは、食事の時間外は他の患者との接触を避け、病室で1人で過ごしている。妹が大学受験を控えていることもあり、母親は毎日面会に来ることはできない。母親が来ない日には、Aさんは自宅に面会の督促の電話をかけては口論している。Aさんとの関わりに心身ともに疲れ果てた母親が看護師に相談してきた。
母親への対応として適切なのはどれか。
1.毎日の面会を勧める。
2.Aさんの苦悩を代弁する。
3.Aさんからの自宅への電話を制限することを約束する。
4.看護師が同席してAさんと母親とが話し合うことを提案する。
>>解答・解説を見る(会員限定)
問題99
入院後1か月が経過した。Aさんはカーテンを閉め切って1人で過ごしていることが多いが、薬物療法や認知行動療法による効果が認められ、手洗い行為はほとんどみられなくなった。主治医、Aさん及び家族で話し合った結果、1ヵ月後の退院を目指すことになった。
退院するまでの期間に参加を勧めるプログラムとして適切なのはどれか。2つ選べ。
1.回想法
2.森田療法
3.就労移行支援
4.家族心理教育
5.生活技能訓練<SST>
>>解答・解説を見る(会員限定)
次の文を読み100~102の問いに答えよ。
Aさん(55歳 女性)は、昨年10月に腹痛と腹部膨満のため受診し、膵癌(pancreatic cancer )、腹膜播種と診断された。手術の適応はなく化学療法を受けていた。今回、腹水貯留があり経口摂取量も減少したため入院した。排泄は自立しているが、臥床していることが多い。事務職員をしていたが、現在は休職中である。夫とは離婚し25歳の長女と2人で暮らしている。23歳の長男は結婚し、遠方で暮らしている。今回の入院時から積極的治療が困難であることは、Aさんと長女へ医師から説明され、Aさんは自宅での療養を希望している。長女は就労しているためあまり来院していない。
問題100
退院調整看護師から、訪問看護ステーションにAさんの情報提供と訪問看護の依頼が入った。訪問看護師は在宅療養ができるかを確認するため来院した。
訪問看護師がAさんと会う前に退院調整看護師に確認すべき情報で優先度が高いのはどれか。
1.自宅環境
2.治療経過
3.食事の摂取状況
4.長女の在宅療養への意向
>>解答・解説を見る(会員限定)
問題101
退院後、介護支援専門員、訪問看護師、在宅療養の主治医および訪問介護事業所管理者がAさんの自宅に集まり、Aさんと長女が同席し、サービス担当者会議を開催した。Aさんは「おなかが張ってあまり食べられないけれど、家で過ごせるようになってうれしいです」と話した。
訪問看護師が会議で発言する内容で優先度が高いのはどれか。
1.処方内容
2.腹部膨満へのケアの必要性
3.ヘルパーによる支援方法の提案
4.予後を踏まえた療養期間の予測
>>解答・解説を見る(会員限定)
問題102
在宅療養が開始されてから1か月が経過した。Aさんの病状は進行し、主治医は長女と帰省した長男に対して死が近づいていることを説明した。衰弱している母親を見た長男は「病院へ入院させたほうがいいのではないか」と言い、長女は、訪問看護師にどうしたらいいかと相談した。
長女への訪問看護師の対応で適切なのはどれか。
1.「Aさんの意思を弟さん(長男)と一緒に聞いてみましょう」
2.「医師に決めてもらう方が弟さん(長男)も納得するでしょう」
3.「Aさんが1人のときに亡くなることもあるので入院も考えましょう」
4.「Aさんは最期まで家にいたいと希望していたから、このままでいいです」
>>解答・解説を見る(会員限定)
次の文を読み103~105の問いに答えよ。
Aさん(68歳、女性) は、70 歳の夫と2人で暮らしている。6年前にParkinson(Parkinson's disease)(パーキンソン)病と診断された。現在レポドパ〈L-dopa〉を1日3回内服している。ヤール(Yahr.M.D.)の重症度分類ステージⅢで、要介護1である。夫が付き添い神経難病専門クリニックに杖を使って通院している。特定疾患医療受給者証を持っているが在宅におけるサービスは利用していない。
問題103
Aさんは足がすくんで転びやすくなったため受診したところ、レポドパ〈L-dopa〉の処方が増量になった。
Aさんは「主治医から薬を1日4回飲むことのなると説明をうけました。今までは何もなかったけど、薬の副作用にはどんなものがありますか」と外来看護師に相談した。
副作用の説明で正しいのはどれか。
1.「難聴になることがあります」
2.「体が勝手に動くことがある」
3.「低血糖を起こすことがあります」
4.「呼吸が苦しくなることがあります」
>>解答・解説を見る(会員限定)
問題104
3か月後。Aさんは入浴中に夫が見ている前で転倒したが、外傷はなかった。その話を聞いた主治医から、安全な入浴ができるように、訪問看護師に依頼があった。
訪問看護師が、訪問時にアセスメントする項目で最も優先するのはどれか。
1.浴室の室温
2.ADLの日内変動
3.夫の入浴介助の様子
4.居室から浴室までの距離
>>解答・解説を見る(会員限定)
問題105
Aさんは「家事は夫がしてくれて感謝しています。介護支援専門員とも相談しながら、自宅で暮らしていきたいと思っています」と訪問看護師に話した。
Aさんへの提案で最も適切なのはどれか。
1.訪問介護の利用
2.短期入所の利用
3.車椅子での室内移動
4.訪問リハビリテーションの利用
>>解答・解説を見る(会員限定)
次の文を読み106~108の問いに答えよ。
Aさん(85歳、男性)は妻と2人で暮らしていたが、自宅で意識を消失して緊急入院した。検査の結果、右中大脳動脈領域の脳梗塞(cerebral infarction )診断された。意識は回復したが左片麻痺があり、発症後3日からベッド上での関節可動域訓練(ROM訓練)が開始された。
問題106
発症後8日。Aさんは「ご飯が食べたい」と話した。左口角から流涎があるが、唾液は飲み込めている。日中、うとうととしていることもある。
Aさんへの嚥下機能の間接訓練で適切なのはどれか。
1.義歯を外して行う。
2.ROM訓練の後に行う。
3.疲労状態を確認しながら行う。
4.覚醒が悪い日は訓練を中止する。
>>解答・解説を見る(会員限定)
問題107
発症後3週。意識は明瞭となり、五分粥と軟菜の経口摂取もできるようになった。食事中、うまく飲み込めずに時々むせることがあり、食事摂取に40分~50分かかっている。
Aさんへの看護で適切なのはどれか。
1.水分摂取には吸い飲みを使う。
2.五分粥を摂取する時は大きいスプーンを使う。
3.嚥下するときは顔を右側に向ける。
4.食後は30分程度Fowler〈ファウラー〉位にする。
>>解答・解説を見る(会員限定)
問題108
発症後4週。Aさんは順調に回復し、退院に向けての準備が進められた。妻から「この状態で家に帰ってきて大丈夫かしら」と看護師に相談があった。
妻への看護師の対応で優先するのはどれか。
1.介護に対する不安について詳しく聴く。
2.特別養護老人ホームへの入所を勧める。
3.要介護認定の申請手続きについて説明する。
4.退院後に予測される問題について説明する。
>>解答・解説を見る(会員限定)
次の文を読み109~111の問いに答えよ。
Aさん(85歳、男性)は、5年前に発症した右脳梗塞(cerebral infarction)の後遺症のため、左半身麻痺がある。
現在、療養病床に入院中である。右膝関節の軽度拘縮のため、ベッド上で過ごすことが多く、自力で体位変換をすることができない。全身の発汗が多く便失禁と尿失禁とがあり、1日5回以上のオムツ交換を行っている。仙骨部に褥瘡を認め、創底の直径は5cm、創面は黄色、皮下脂肪組織までの欠損がある。毎日1回の褥瘡処置を行っている。現在Aさんは身長162cm体重48kgである。
問題109
Aさんの褥瘡の深達度はどれか。
1.ステージⅠ
2.ステージⅡ
3.ステージⅢ
4.ステージⅣ
>>解答・解説を見る(会員限定)
問題110
2週後、Aさんの褥瘡は創面に肉芽組織と軟らかい壊死組織があり、周囲に新しい直径5mmの水疱ができていた。
このときのケア方法として適切なのはどれか。
1.水疱はつぶす。
2.壊死組織は取り除かない。
3.微温湯で創面を洗浄する。
4.洗浄後は創面を乾燥させる。
>>解答・解説を見る(会員限定)
問題111
肛門周囲の皮膚は湿潤しており暗赤色であった。看護師の対応で適切なのはどれか。
1.殿部をアルカリ性石鹸で洗浄する。
2.肛門周囲の皮膚に保護オイルを塗布する。
3.肛門周囲の皮膚をマッサージする。
4.ベッドにウレタンマットレスを敷く。
>>解答・解説を見る(会員限定)
次の分を読み112~114の問いに答えよ。
Aさん(38歳、)初産婦は妊娠38週3日に2,900gの女児を正常分娩した。出産前はAさんは夫と2人で暮らしていた。引っ越して3か月であり、周囲に親しい知り合いや友人はまだいない。
問題112
産褥3日。子宮底の高さは臍下3横指にあり硬度良好であった。乳房は軽度緊満しており、乳汁分泌がみられる。
体温37.0℃、脈拍76/分、血圧124/72mmHgであった。訪室時、Aさんは「体がなんとなくだるいです。理由もないのに涙が出てきます」と涙ぐんでいた。
Aさんの状態として考えられるのはどれか。
1.産褥熱(puerperal fever )
2.高血圧症(hypertension)
3.産後うつ病(postpartum depression)
4.マタニティブルーズ(maternity blues)
>>解答・解説を見る(会員限定)
問題113
看護師はベッドサイドの椅子に座り、Aさんから育児について分からないことが多いという話を聞いた。話し終えたAさんは「少しすっきりしたような気がします」と言った。
このときの看護師の対応で優先度の高いのはどれか。
1.元気づける。
2.休息を促す。
3.精神科の受診を勧める。
4.母親として自覚するよう話す。
>>解答・解説を見る(会員限定)
問題114
産褥5日。Aさんは「少しずつ育児ができるようになってよかったですが、自宅での育児は不安です」と話している。
看護師の対応で最も適切なのはどれか。
1.児童相談所に連絡する。
2.保育所の利用を勧める。
3.新生児訪問の時期を早めるよう市町村保健師に依頼する。
4.子育てをしている親の会に退院直後から参加する事を勧める。
>>解答・解説を見る(会員限定)
次の文を読み115~117の問いに答えよ。
Aさん(37歳、初産婦)、会社員。妊娠41週1日の午後11時に3,200gの女児を分娩した。妊娠や分娩の経過は順調であり、会陰切開術を受けた。分娩後2時間の子宮底の高さは臍下2横指、縫合部に異常はみられなかった。
問題115
産褥後1日午前5時、赤色悪露が少量みられた。子宮底の高さは臍上1横指で、膀胱部に軽度の膨満を触知したため、トイレでの排尿を促した。しかし、Aさんは「切開した傷が痛くて、排尿しようとしても出ません。どうしましょう」と看護師に相談してきた。
Aさんへの看護師の対応で最も適切なのはどれか。
1.「水分を摂らないようにしてください」
2.「腹部を温めてみましょう」
3.「授乳をしてみましょう」
4.「尿を管で取りましょう」
>>解答・解説を見る(会員限定)
問題116
産褥3日。Aさんは「退院後は避妊する予定です。母乳は1年以上続けたいと思います」と話している。
看護師の説明で適切なのはどれか。
1.授乳期間中の避妊は必要ない。
2.産後1か月から経口避妊薬を使用する。
3.性生活を再開するときからコンドームを使用する。
4.産後2週にIUD〈子宮内避妊具〉を挿入してもらうよう勧める。
>>解答・解説を見る(会員限定)
問題117
産褥5日。Aさんは「出産前は職場に復帰しようと思っていましたが、今は仕事と育児とを両立できるか心配です。
いろいろな制度があるとは聞いていますが、どのようなことができるのでしょうか」と看護師に相談した。
Aさんへの説明で正しいのはどれか。
1.「退院直後からお子さんを保育園に預けることができます」
2.「お子さんが満2歳になるまで育児休業をとれます」
3.「職場でお乳を搾る時間を1日4回てれます」
4.「夫が育児休業をとることもできます」
>>解答・解説を見る(会員限定)
次の文を読み118~120の問いに答えよ。
Aちゃん(1歳2か月、女児)は在胎38週2日、2300g、新生児仮死状態で出生しNICUで全身管理が行われた。
人工呼吸器は3週後に離脱できたが、咳嗽反射が弱く嚥下障害がみられた。追視がなく、痙直性の四肢麻痺がみられるようになり、生後8か月で脳性麻痺と診断された。1歳の時点で小児病棟へ転棟し、退院に向けた準備を行っている。
現在、身長と体重は年齢相当で、鼻腔から経管栄養を行っており、日常的に口腔内吸引が必要である。Aちゃんは第1子で、父親は会社員、母親は専業主婦である。
問題118
Aちゃんへの経管栄養法で適切なのはどれか。
1.胃菅挿入の長さは、鼻尖から胸骨剣状突起までの直線距離とする。
2.胃菅挿入後は注射器で空気を1ml注入して気泡音を確認する。
3.栄養剤を注入する前には毎回、胃内容物が吸引できるか確認する。
4.栄養剤を注入する際の姿勢は、仰臥位とする。
>>解答・解説を見る(会員限定)
問題119
退院に向けて、自宅でのケアを習得するために母親が付き添うことになった。母親は看護師と一緒にAちゃんの沐浴を行うことを楽しみにしているが、眠っているAちゃんの頭をなでながら、「Aちゃんがこんなになったのは私の責任だと思う。家で世話するのは自信がないけど頑張るしかない。この先、どの様に育っていくのだろう」と話す。父親は仕事が忙しいが家事を行い、週末は必ず面会に訪れている。
家族への看護で適切なのはどれか。
1.父親への沐浴指導は母親に任せる。
2.面会を増やせば母親が楽になると父親に伝える。
3.将来のことを考えても仕方がないと母親に話す。
4.Aちゃんのケアについて母親ができていることを認める。
>>解答・解説を見る(会員限定)
問題120
母親は経管栄養と口腔内吸引とを1人で実施できるようになったが、「退院したら、昼間、Aと2人だけで過ごすのは心配です。Aの具合が悪いときにはどうしたら良いのでしょう」と話す。
Aちゃんが在宅療養に移行するために検討する内容で優先度が高いのはどれか。
1.保育所への入所
2.訪問看護の依頼
3.家事支援のヘルパーの依頼
4.地域の子育てグループへの参加
>>解答・解説を見る(会員限定)









